スポーツ歯学の活動指針
- スポーツにおける歯と口腔の健康管理
- スポーツにおける口のケガを防止する
- スポーツ競技能力の向上
運動能力と歯の関係
スポーツ選手には、瞬発力と集中力が必要です。虫歯や親知らずによる歯の痛み、あるいは口内炎や歯周病による歯肉の痛み、顎関節の痛み等、口腔の健康に不安を抱えていると十分な力を発揮できない事があります。 運動能力を高める為には、健全な口腔、しっかりとした噛み合わせが必要です。
バランス、パワーのためには、正しい食事
近年、トップアスリートの食事は、競技種目に見合ったカロリー計算の上で、試合前ばかりでなくふだんから提供されるようになってきました。 しかし、同じ量でも流し込むような食事のしかたでは十分に栄養の吸収ができません。 また、いわゆる早食いでは満腹中枢が十分に機能しないうちに、計算された食事以上の物を摂取し、カロリー過多となってしまいます。 その結果、体脂肪率が上がり動きが鈍くなってしまう可能性が出てきます。 減量が必要な選手の場合は、特に気をつけなければいけません。 よく噛んで、ゆっくり食事を楽しむようにとることが、栄養吸収面では大切です。 メダルを獲得するためには、正しい嚙み合わせによる阻嚼によって摂取されたエネルギーが、 運動能力を最大限に発揮するための源となります。 すなわち、健康なロは決して目立つ存在ではないのですが、 スポーツ選手の好成績を支える大切なパートナーであり、カギとなります。

水分補給とムシ歯・酸蝕症
噛み合わせとスポーツ
矯正治療・・・
強く噛み締めて力を発揮する競技や重心の揺れ、軸のブレ等を無くしてバランス感覚を必要とする競技には、正しい噛み合わせが必要です。 ムシ歯や親知らずの治療以外にも正しい噛み合わせの回復に悪い歯並びを治療する歯科矯正が必要となる場合があります。 矯正治療は、何年もかかる場合もありますので、なるべく早めに治療を開始しましょう。
顎関節症・・・
正しい奥歯の噛み合わせを維持することで、強い力を発揮でき、身体のバランスをうまく取ることができます。 ムシ歯や悪い歯並びが原因で、奥歯・犬歯・前歯の関係が崩れてしまって顎関節に障害が及んだり、肩こりや腰痛を起こすことがあります。大きなムシ歯や強い咬耗、あるいはアゴの関節に嫌な音や痛みを感じたならば、早めに治療を受けましょう。
咬耗症・・・
歯ぎしりや強い噛みしめにより、対合歯と接触する歯の切縁や咬合面の歯質が擦り減った状態です。 一般に前歯の先端や奥歯の噛み合わせ面に現れ、1~2本という少数に生じるよりは、歯全体あるいは左右片側全体の歯に生じることが多く見られます。 咬耗した面は平滑で、磨いたようになっていることが多く、歯がしみることもあります。 象牙質まで進行すると次第に褐色のくぼみができ、噛み合わせ全体が低くなった場合には、競技パフォーマンスが低下することもあります。
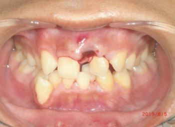
ケガの処置とマウスガード
・外傷により、歯がかけたりグラグラする
・・・放置すると変色や位置のずれ、脱落の場合があります。
・歯が抜け落ちた
・・・現場での応急処置を適切にし、早急な治療と固定により元に戻る可能性が高まります。
必ず歯冠部を持って拾い上げ乾燥させない。
できれば、牛乳に漬けた状態で早急に歯科受診。
※根の部分を手で触ったり、抜け落ちた歯をごしごし洗ってはいけない。
- 1、亀裂
- 2、エナメル質に限局し露髄を伴わない場合
- 3、露髄を伴う場合


- 保存液48時間 牛乳24時間
- 通常1~3か月予後確認し、1年経過観察


- (保存的治療)顎間固定や咬合床
- (外科的治療)切開後プレートや固定用ピン


